こんにちは!
愛知県豊橋市にある
にじいろ歯科
おとなこども矯正歯科です🌈
「ホワイトニングは
何回で白くなりますか?」
これは、カウンセリングで
最も多いご質問のひとつです😌
結論から言うと
現在の歯の色
と
目指す白さ
によって回数は異なります🤔

回数が変わる理由
ホワイトニングの効果は、
以下の要素で変わります。
・目標の白さ
・歯質
・生活習慣
もともと明るい方であれば
少ない回数で変化を実感できますが
しっかりトーンアップしたい場合は
回数を重ねる必要があります☝️

回数の目安は?
あくまで目安になりますが
✔ 自然なトーンアップ
→ 1〜2回のオフィスホワイトニング
✔ しっかり白くしたい
→ 3〜5回のオフィスホワイトニング
やホームホワイトニング
✔ ブリーチシェードまで目指したい
→ 3ヶ月コース
(オフィス6回+ホーム3ヶ月)
がおすすめです✨
ブリーチシェードとは、
自分や周りの人から気づかれるだけでなく
褒めてもらえる色になります🥰

デュアルホワイトニング
とは?
3ヶ月コースは、
オフィスホワイトニングと
ホームホワイトニングを組み合わせる
デュアルホワイトニング
という方法で白くしていきます🦷
オフィスホワイトニングで
一気にトーンアップし
ホームホワイトニングで
内部からじっくり安定させる
この組み合わせにより
・理想の白さまで
短期間で到達しやすい
・専門家の管理のもと
安心して取り組める
というメリットがあります☺️🌸
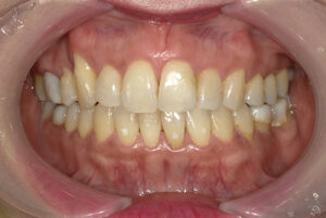
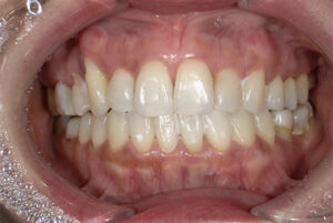
症例紹介
【Before】

【After】

※患者様の同意を得て掲載しております。
【施術内容】
ボーテ式ホワイトニング
(デュアルホワイトニング)
【治療期間】
3か月
【リスク・副作用】
低刺激の薬剤を使用しておりますが、
知覚過敏がある方は
一時的にしみる可能性があります。
白さの感じ方・維持期間には
個人差があります。
妊娠中・授乳中の方は
施術をお控えいただいております。
【治療費用】
3か月コース
144,000円(税込158,400円)
当医院のホワイトニングは
ボーテ式ホワイトニング
セラピストの資格に合格した者のみが
施術を担当いたしますので
ご安心ください🥰

無料カウンセリングでわかること
当院では、無料カウンセリングにて
・目標の歯の色の設定
・必要な回数・期間
・費用の目安
を丁寧にご説明しております🫶
「何回で白くなるのか知りたい」
という方は、
ぜひ一度ご相談ください🌿

監修者:澤本圭史
にじいろ歯科
おとなこども矯正歯科 院長 澤本圭史